จัดฟันใส Invisalign ขอนแก่น

คลินิกทันตกรรมเดอะเลค ขอนแก่น

รางวัล Invisalign Gold I และ Invisalign Go Gold I Provider 2022

รางวัล Invisalign Platinum Provider 2023

รางวัล Invisalign Platinum Provider 2024

ราคาโปรโมชั่น จัดฟัน Invisalign ขอนแก่น

invisalign ขอนแก่น
INVISALIGN ชุด EXPRESS
ราคา 60,000 บาท
พิเศษลดเพิ่ม
เหลือ 55,000บาท
 
invisalign ขอนแก่น
INVISALIGN ชุด LITE
ราคา 90,000 บาท
พิเศษลดเพิ่ม
เหลือ 85,000 บาท
 
invisalign ขอนแก่น
INVISALIGN ชุด FULL
ราคา 150,000 บาท
พิเศษลดเพิ่ม
เหลือ 140,000 บาท
 

จัดฟันใส invisalign

การจัดฟันใส Invisalign ขอนแก่น คือการใช้อุปกรณ์จัดฟันที่เป็นพลาสติกแบบใสครอบฟันเพื่อปรับเปลี่ยนรอยยิ้ม และการเรียงตัวของฟันแทนการจัดฟันแบบติดเหล็ก ซึ่งสามารถถอดและใส่เองได้อย่างง่ายดาย โดยมียี่ห้อ Invisalign เป็นอุปกรณ์ที่ได้รับความนิยมสูงสุด บางคนจึงเรียกการจัดฟันแบบนี้ว่า การจัดฟันใส Invisalign ขอนแก่น
invisalign ขอนแก่น

ข้อดีของการจัดฟัน Invisalign

  • มองไม่เห็นเครื่องมือจัดฟัน
  • ดูแลความสะอาดได้ง่าย
  • ไม่มีปัญหาในการพูด ออกเสียง การเคี้ยวอาหาร
  • สามารถลดอาการเหงือกบวมแดง หรือเจ็บระคายเคืองในปากเนื่องมาจากเหล็กจัดฟันด้วย
  • ไม่ต้องมาพบทันตแพทย์บ่อยๆ เหมือนการจัดฟันแบบอื่น


"จัดฟัน Invisalign ขอนแก่น
ต้องที่
คลินิกทันตกรรมเดอะเลค"
invisalign ขอนแก่น

รีวิวจัดฟันใส

นอกจากมีข้อดีหลากหลายข้อแล้ว ยังได้ผลการรักษาที่ดี และใช้เวลาไม่นาน ทั้งการแก้ไข

  • ฟันที่ยื่น
  • ฟันห่าง
  • ฟันสบเปิด
  • ฟันสบลึก
  • ฟันซ้อนเก
  • ปัญหาเคยจัดฟันมาแล้วไม่ใส่รีเทนเนอร์
  • การสบฟันที่ผิดปกติอื่นๆ
  • ช่วยแก้ไขฟันให้สามารถทำการบูรณะครอบฟัน วีเนียร์ หรือใส่ฟันปลอมได้ง่ายขึ้นด้วย

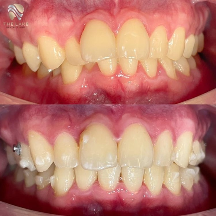
เคสฟันยื่นแบบไม่ถอนฟัน 

คนไข้มาด้วยปัญหาฟันยื่น ตัดสินใจทำการจัดฟันใส invisalign full เนื่องจากคนไข้อยู่ต่างประเทศ ไม่สามารถเข้ามาพบคุณหมอได้ทุกเดือน ผลการรักษาค่อนข้างดี หลังใส่เครื่องมือไป 5เดือน

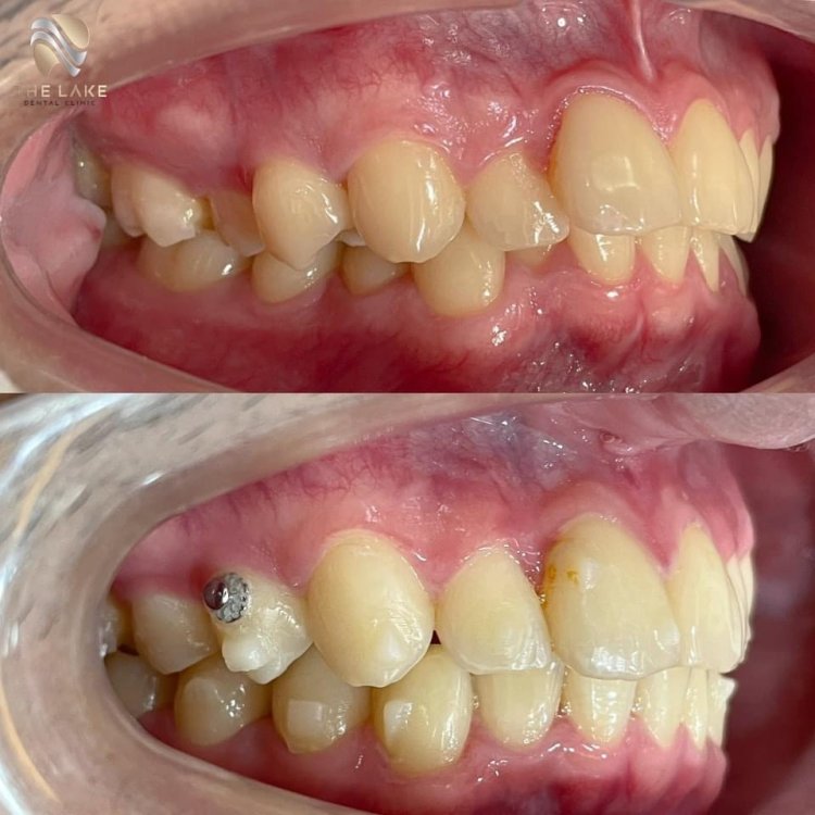
เคสฟันซ้อนเก และสบคร่อม

ใช้ Invisalign Go 20 ชิ้น แก้ไขฟันหน้า และฟันกรามน้อย 

เคสเคยจัดฟันมาแล้วไม่ใส่รีเทนเนอร์

ใช้ Invisalign Lite 14 ชิ้น แก้ฟันยื่นยาว และฟันหน้าห่าง
เคสฟันสบคร่อม

เคสฟันซ้อนเก สบคร่อม และสบเปิด

ประเภท invisalign
 
1.  Invisalign-Express มีอุปกรณ์ 7 ชุด สำหรับฟันซ้อนเกหรือฟันห่างเพียง 1-2 ซี่ หรือเคยจัดฟันมาแล้วแต่ไม่ใส่รีเทนเนอร์ ใช้เวลาทำประมาณ 2-3 เดือน
 
2. Invisalign-Lite มีอุปกรณ์ 14 ชุด สำหรับฟันห่าง ซ้อนเก ระดับเล็กน้อยถึงปานกลาง ใช้เวลาทำประมาณ 6 เดือนถึง 1 ปี
 
3. Invisalign-Full มีอุปกรณ์ 14 ชุดขึ้นไป สำหรับแก้ไขความผิดปกติของฟันได้ทุกรูปแบบ รวมทั้งผู้ที่ยังไม่เคยจัดฟันมาก่อน ระยะเวลาที่ทำประมาณ 1-2 ปี
ซอฟต์แวร์ Clincheck®

ซอฟต์แวร์ ClinCheck สามารถจำลองการเคลื่อนตัวของฟัน เริ่มตั้งแต่ตอนที่คุณสวมอุปกรณ์จัดฟันชิ้นแรก จนกระทั่งคุณจัดฟันเสร็จและได้รับรอยยิ้มใหม่ ไม่ต้องคาดเดา ไม่ต้องรอจนจัดฟันเสร็จ ก็ทราบผลลัพธ์ได้
  • จำลองภาพ 3 มิติ ช่วยให้ทันตแพทย์สามารถปรับเปลี่ยนการรักษาให้เหมาะกับคุณ
  • การวิเคราะห์ด้วยโปรแกรมจะคำนวณหาแรงที่เหมาะสมสำหรับทุกการเคลื่อนที่ของฟัน
  • ด้วยซอฟต์แวร์นี้และข้อมูลจากทันตแพทย์ ฟันทุกซี่จะเคลื่อนตัวตามแผนที่วางไว้และในเวลาที่เหมาะสม
invisalign ขอนแก่น
ตัวอย่าง  clincheck ที่สามารถเห็นลักษณะการเคลื่อนฟัน และภาพฟันหลังจัดฟันใสเสร็จ

ติดต่อเพื่อนัด เจ้าหน้าที่จะโทรยืนยันนัด invisalign ขอนแก่น



Powered by MakeWebEasy.com
เว็บไซต์นี้มีการใช้งานคุกกี้ เพื่อเพิ่มประสิทธิภาพและประสบการณ์ที่ดีในการใช้งานเว็บไซต์ของท่าน ท่านสามารถอ่านรายละเอียดเพิ่มเติมได้ที่ นโยบายความเป็นส่วนตัว  และ  นโยบายคุกกี้